
Proteinschalter in Blutgefäßen verstärkt Schäden bei Gefäßerkrankungen
GPR153 fördert als Reaktion auf akute Schäden der Gefäße entzündliche Reaktionen in deren Wand
Komplexe Steuerungsprozesse für ein komplexes Organ: Wie zwei verwandte Proteine zusammenarbeiten um die Entwicklung des Herzens zu steuern.
RBPMS und RBPMS2 regulieren Zellteilung und -funktion während der Herzentwicklung
EU fördert Max-Planck-Team bei Entwicklung einer Therapie gegen Muskelschwund
„Proof of Concept Grant“ des European Research Councils für Erforschung einer RNA-basierten Therapie bei Duchenne-Muskel-Dystrophie
„Genetische Selbsthilfe“ gezielt aktivieren: Eva Luise Köhler Forschungspreis für Didier Stainier
Didier Stainier, Direktor am Max-Planck-Institut für Herz- und Lungenforschung in Bad Nauheim, erhält den diesjährigen Eva Luise Köhler Forschungspreis für Seltene Erkrankungen der Eva Luise und Horst Köhler Stiftung. Mit dem Preis werden Stainier und sein Team für ihre Grundlagenforschung an der Muskelerkrankung Duchenne-Muskeldystrophie ausgezeichnet.
Erneuter Erfolg bei der Exzellenzinitiative
Das Cardiopulmonary Institute (CPI), ein gemeinsames Exzellenzcluster des Max-Planck-Instituts in Bad Nauheim und der Universitäten Gießen und Frankfurt, wurde erneut im Rahmen der Exzellenzinitiative von Bund und Ländern ausgezeichnet und erhält weitere sieben Jahre Förderung in Millionenhöhe.
GPRC5B: G-Protein-gekoppelter Rezeptor reguliert Makrophagen-Aktivität
GPRC5B beeinflusst Prostaglandin-Rezeptor und dadurch die Immunabwehr
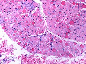
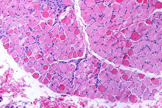
Mechanismus zur Behandlung von Muskelschwund entdeckt
Utrophin-Anstieg in Muskelzellen nach transkriptionaler Adaptation normalisiert Zellfunktion bei Duchenne Muskeldystrophie
Blutgefäße sind schuld: Darum führt Übergewicht zu Diabetes
Dr. Haaglim Cho und sein Team in unserer Pharmakologie Abteilung haben herausgefunden, dass Blutgefäße eine entscheidende Rolle bei der Entstehung von Typ-2-Diabetes spielen.
Recycling ist auch im menschlichen Körper wichtig: Ein gestörtes Recycling von Proteinen schädigt die Herzgesundheit
Ein Enzym namens Ubiquitin-spezifische Peptidase 5 ist ein bestimmender Faktor für die Proteinqualität in Herzmuskelzellen
Kerckhoff-Stiftung will verstärkt Spenden zur Unterstützung des Bad Nauheimer Max-Planck-Instituts einwerben.
17. Oktober 2024 Gemeinsame Kuratorien der W. G. Kerckhoff-Stiftung und des Max-Planck-Instituts für Herz- und Lungenforschung und beschließen, Forschung verstärkt zu fördern.
Hessischer Wissenschaftsminister Timon Gremmels besucht Bad Nauheimer Max-Planck-Institut für Herz- und Lungenforschung
24. Juli 2024Neben aktueller Forschung ist auch Zukunft des Instituts ein Thema.

CPI Image Film
Wir sind stolz darauf, Teil des Cardio Pulmonary Institute (CPI) zu sein, dem Exzellenzcluster für Herz- und Lungenforschung. Schauen Sie sich den Film an und erfahren Sie mehr über unsere Vision und Leidenschaft.
► Zur Homepage der IMPRS-MOB

Sie finden uns an zwei Standorten in Bad Nauheim: Im Neubau in der Ludwigstraße 43 und im Altbau in der Parkstraße 1.

„Genetische Selbsthilfe“ gezielt aktivieren: Eva Luise Köhler Forschungspreis für Didier Stainier
21.06.2025Didier Stainier erhält Eva Luise Köhler Forschungspreis für Seltene Erkrankungen für Grundlagenforschung an Muskelerkrankung Duchenne-Muskeldystrophie.

Erneuter Erfolg bei der Exzellenzinitiative
22. Mai 2025Max-Planck-Institut erneut zusammen mit den Universitäten Gießen und Frankfurt bei der Exzellenzinitiative des Bundes erfolgreich

Mechanismus zur Behandlung von Muskelschwund entdeckt
12. Februar 2025Utrophin-Anstieg in Muskelzellen nach transkriptionaler Adaptation normalisiert Zellfunktion bei Duchenne Muskeldystrophie

Recycling ist auch im menschlichen Körper wichtig. Ein gestörtes Recycling von Proteinen schädigt die Herzgesundheit.
22. Januar 2025Ein Enzym namens Ubiquitin-spezifische Peptidase 5 ist ein bestimmender Faktor für die Proteinqualität in Herzmuskelzellen.

Kerckhoff-Stiftung will verstärkt Spenden zur Unterstützung des Bad Nauheimer Max-Planck-Instituts einwerben.
17. Oktober 2024 Gemeinsame Kuratorien der W. G. Kerckhoff-Stiftung und des Max-Planck-Instituts für Herz- und Lungenforschung und beschließen, Forschung verstärkt zu fördern.
Hessischer Wissenschafts-minister Timon Gremmels besucht Institut
24. Juli 2024Timon Gremmels, Hessischer Minister für Wissenschaft und Forschung, Kunst und Kultur, war am Max-Planck-Institut für Herz- und Lungenforschung (MPI) zu Gast. Neben aktueller Forschung ist auch Zukunft des Instituts ein Thema.
Unsere Forschungsabteilungen

Entwicklung und Umbau des Herzens (Abt. I)
Thomas BraunSchwerpunkt sind die molekularen Grundlagen der Entwicklung und der Entstehung von Erkrankungen des Herzens sowie Regenerations- und Reparaturprozesse.

Pharmakologie (Abt. II)
Stefan OffermannsIm Fokus stehen zelluläre Signalwege sowie Mechanismen pathophysiologischer Prozesse im kardiovaskulären und metabolischen System sowie bei Tumorerkrankungen.

Genetik der Entwicklung (Abt. III)
Didier StainierUntersucht Fragen der Organogenese einschließlich Zelldifferenzierung, Gewebemorphogenese, Organhomöostase und -funktion sowie Organregeneration.
Unsere Forschungsgruppen

Epigenetik
Lei GuDas Gu Labor kominiert Bioinformatik, Epigenomik, Krebsbiologie, Fliegengenetik und Massenspektroskopie, um die Rolle neuartiger epigenetischer Modifikationen zu identifizieren und zu untersuchen.

Circadiane Rhythmik des Herzstoffwechsels
Pieterjan DierickxDas Dierickx-Labor ist daran interessiert, wie die zirkadiane Uhr rhythmische Prozesse im Herzen steuert. Zirkadiane Rhythmen koordinieren viele Aspekte des Verhaltens und der Physiologie, um mit der 24-stündigen Erdrotation synchron zu sein.
Unsere Emeritus Gruppe
Unsere wissenschaftlichen Servicegruppen
Aktuelles
Technischer Assistent/in (m/w/d)
10. November 2025
Tierpfleger/in- Fachrichtung Forschung und Klinik (w/m/d)
24. Oktober 2025
Technischer Assistent*in (m/w/d)
24. Oktober 2025
Fachkräfte für Tierpflege (w/m/d) - Fachrichtung Forschung und Klinik
19. September 2025
Motivierte Aushilfen (w/m/d) für die Tierhaltung
17. September 2025
















